Pictures of Real Wisdom Teeth
- David Chen, DDS

- Jul 28, 2022
- 3 min read
This is a collection of real pictures of wisdom teeth (third molars) that were taken at our long island city dental office. They are clinical intraoral photos of either wisdom teeth or impacted wisdom teeth. We've also included dental x-rays of these third molars as well.
This is a real photo of the bottom wisdom teeth on both sides of the mouth. They are the last tooth or molar on the left and right side. They don't look discolored because they are normal healthy wisdom teeth with no cavities in them.

Here is a photo of a single upper wisdom tooth that does not have any problems:

This is a panoramic x-ray showing the upper left and bottom left wisdom teeth. The right side were already taken out previously.

Additional pictures of wisdom teeth:
Pictures of wisdom teeth with plaque
Real picture of a wisdom tooth with plaque covering all over it:

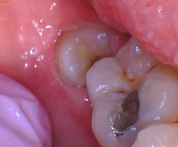
This is a picture of a wisdom tooth with plaque AND a cavity.

Pictures of wisdom teeth with cavities
This is a real clinical picture of an upper left wisdom tooth. The chewing surface is severely discolored and black looking because it has a large cavity.

This is a real intraoral picture of a wisdom tooth with a huge cavity, which resulted in an actual hole in the tooth. You can see a large piece of the tooth structure is missing due to the cavitation.

This is a picture of a wisdom tooth with a cavity by the gum line.

Pictures of wisdom teeth coming in
These are two pictures of a real lower wisdom tooth coming in through the gums. The first and second photo were taken a couple of months apart but they are of the same patient.
These are two pictures of a real upper wisdom tooth coming in through the gums. The two photos were taken a couple of months apart on the same individual.
Here is another intraoral photo from a different patient where you can see a hole in the gums behind the molar. That is where the third molar is trying to come in.

Learn more about signs of wisdom teeth coming in because it is so much more than just visual changes. There are other signs and symptoms that you can look out for.
Pictures of impacted wisdom teeth
These are real pictures of impacted wisdom tooth on the bottom. They're both not fully erupted because they're still partially impacted and covered with gum tissue.
These are x-rays of impacted wisdom teeth on the left side and right side. One of them is completely sideways and 90 degrees horizontal. The other one is partially sideways and angulated.
Related content: We have a lot more x-rays of wisdom teeth in this article.
Pictures of wisdom teeth with a gum flap
Sometimes the wisdom teeth can be impacted just ever so slightly and it'll cause a tiny flap of gum at the top end of the tooth. This flap is a plaque and food trap which periodically causes the tooth to be inflamed from time to time.

Much more severe gum flap that is being chewed on by the opposing upper wisdom tooth:

Pictures of wisdom teeth causing cheek biting
Photo of severe cheek biting from an impacted lower wisdom tooth. The bitten cheek started to develop hyperkeratosis which is highly keratinized tissue. It almost looks like a cauliflower!

Less severe cheek biting photos from wisdom teeth:

Related content: Article about wisdom tooth cutting into cheek, why it happens and what you can do about it.
Pictures of extracted wisdom teeth and the extraction socket
This picture is of two extracted wisdom teeth:

These are two intraoral photos of what both of the extraction sockets that the two teeth came from:
Outlook
Not all wisdom teeth are unhealthy and need to be taken out but the vast majority of them do due to tooth decay. Hopefully all these pictures of real wisdom teeth give you a better idea of how to tell if you have one! It'll also help you identify if yours are problematic or not.
Although if you are unsure, it is always best to see your dentist for your check up and ask them about it.
If you need a consultation for wisdom teeth removal in Long Island City, our dental office will be more than happy to help you! Otherwise you should try to find a dentist near you.
























