
Dental Filling - Long Island City, NY
Repair damaged teeth with cavity fillings
A dental filling is a restorative procedure that removes tooth decay and replaces it with a restoration. Oral bacteria can cause cavities on any surface of your tooth but you can fix it with a dental filling in Long Island City.
More Info:
What we offer
Our expert dentists at 1311 Jackson Ave Dental, will provide top notch care and can repair any tooth that has been ravaged by cavities. We'll excavate the decay and the restore the tooth back to its proper shape, form, and function with a restoration.
Our dental office offers different types of tooth fillings.

Composite Resin
A composite resin filling is a tooth colored filling or otherwise known as a white filling. They are the standard of care and they get bonded to the dentin and enamel. Patients prefer them over the unaesthetic amalgams.

Dental Bonding
Dental bonding is typically done for chipped front teeth or for cosmetic purposes. A tooth colored resin will be bonded onto your enamel. It is a conservative alternative to getting veneers and crowns.
Signs that you may need a dental filling
The obvious symptoms of a cavity is sensitivity to sweets or pain when eating. However, just because you're not experiencing a toothache, it doesn't preclude you from needing dental treatment.
Signs and symptoms of needing a tooth filling:
-
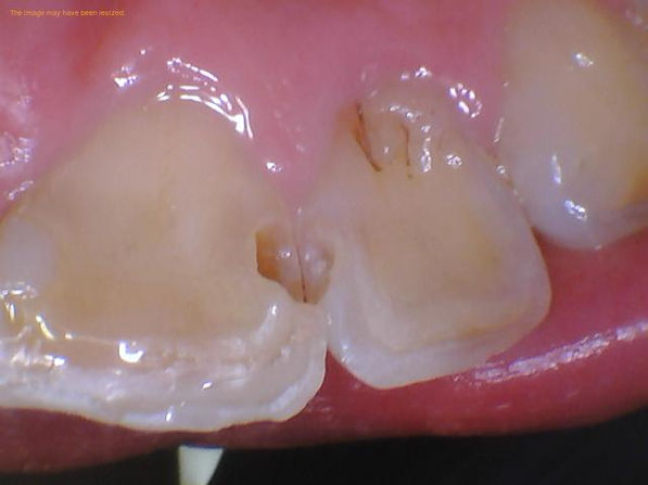
Cavities
-
Broken or missing fillings
-
Chipped teeth
-
Recurrent decay underneath fillings
-
Dental bonding
-
Gum recession or exposed roots
How we can help
Getting a cavity filling with our long island city dentists at Jackson Ave Dental will only take one visit. If it is 1-3 teeth that need to be repaired, a single appointment is all you need.
However, if you have more decayed teeth than that, you may need additional visits.
Benefits:
-
Brand new teeth
-
Restored smile
-
Better chewing
-
Confident speaking
-
Protected teeth
-
Decay free
-
Prevents sensitivity
What to expect for procedure: 45 minutes
-
Administer local anesthesia for tooth numbing.
-
Wait 3-5 minutes to be fully numb.
-
Excavate decay by drilling it with a high speed handpiece.
-
Apply tooth conditioner.
-
Apply tooth primer.
-
Apply bonding agent.
-
Fill the cavity with filling material of your choice.
-
Adjust the restoration for proper bite.
-
Polish the filling to make it smooth.
-
Wait for the numbness to go away before you eat! (2-3 hours)
Procedure Step by Step with Photos
Cost of Tooth Filling
On average, PPO dental insurances will cover dental fillings at 80% which means you'll have a 20% copayment. The exact cost of your filling would depend on your insurance plan and how much coverage you have.
Our dentists at Jackson Ave Dental do accept and are in network with most of the major PPO insurances. Visit our insurance page to learn more.
FAQs
How Can I tell if I have a cavity?
Decayed teeth can sometimes present with pain or sensitivity. However, just because you're not feeling anything it does not mean that your mouth is decay-free. The vast majority of small to medium sized cavities are asymptomatic!
The only way to tell if you have one is if you go in for your dental check up and get your x-rays. The only reliable way to know how healthy your mouth is by getting it diagnosed by your dentist.
Alternatives
If you don't want the tooth to be filled, alternatives would be a crown or veneer. Both procedures will get rid of the decay but will restore it with an indirect restoration, typically made of porcelain. The only downsides are that they are not as conservative and require more tooth preparation.















